Google News

Kỳ lạ cô gái có khả năng xoay vai 180 độ vì lý do không tưởng

Kỳ lạ cô gái có khả năng xoay vai 180 độ vì lý do không tưởng
HHTO - Mắc phải chứng bệnh lạ, cô gái có thể xoay vai đến 180 độ trong khi với người bình thường là 90 độ.

Một người phụ nữ 37 tuổi đến từ Ấn Độ mới đây đã tìm kiếm sự trợ giúp y tế sau khi gặp khó khăn khi sử dụng tay trái và đau vai trong 3 tháng.

Khi khám chữa, các bác sĩ phát hiện ra vai của cô vô cùng mềm mại, có thể xoay 180 độ từ ngực đến lưng - gấp đôi vòng xoay 90 độ đối với người bình thường.

Một người phụ nữ 37 tuổi có khả năng xoay vai lên tới 180 độ, gần như gấp đôi so với người bình thường.
Một người phụ nữ 37 tuổi có khả năng xoay vai lên tới 180 độ, gần như gấp đôi so với người bình thường.

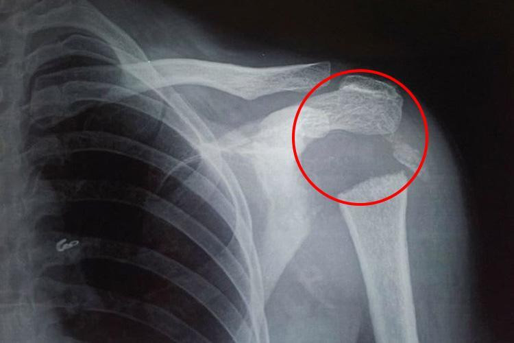
Sau khi tiến hành chụp chiếu, tia X cho thấy phần xương tròn kết nối cánh tay với vai của cô đã tiêu biến khiến nó chỉ còn một mảnh nhỏ. Các bác sĩ tại Viện Khoa học Y khoa Pondicherry ở Ấn Độ đã cho xét nghiệm nhiễm trùng, nội tiết tố cũng như trao đổi chất, tuy nhiên mọi thứ đều ở trạng thái bình thường.

Theo báo cáo trường hợp của Tạp chí Y khoa Anh, vùng xương dài ở cánh tay trên của người phụ nữ đã biến mất. Ban đầu, đội ngũ y bác sĩ nghi ngờ do bệnh về thần kinh gây ra nhưng cô hoàn toàn không hề có triệu chứng liên quan. Sự thiếu hụt các triệu chứng thần kinh khiến gây ức chế cho cơ thể, do vậy các bác sỹ chẩn đoán cô mắc chứng Gorham-Stout, một căn bệnh cực kỳ hiếm gặp khiến xương tiêu biến.

Sau khi tiến hành chụp X quang cùng nhiều xét nghiệm khác, các bác sĩ chẩn đoán cô mắc chứng bệnh hiếm gặp có tên Gorham-Stout.
Sau khi tiến hành chụp X quang cùng nhiều xét nghiệm khác, các bác sĩ chẩn đoán cô mắc chứng bệnh hiếm gặp có tên Gorham-Stout.

Hiện tại, các bác sĩ vẫn chưa tìm được nguyên nhân gây ra căn bệnh và không có liên kết di truyền nào của bệnh đã từng được phát hiện. Những người mắc bệnh này sẽ kéo theo chứng tăng trưởng bất thường của mạch máu và mạch bạch huyết, có thể làm tổn thương và vỡ xương.

Vì không có bất kỳ khuyết tật về thể chất nào nên người phụ nữ đã không chọn phương pháp phẫu thuật để chỉnh sửa vai mình. Do sự hiếm gặp của bệnh nên không có thuốc để điều trị, vì vậy cô đã được tập thể dục tăng cường để hình thành cơ bắp nhằm hỗ trợ khớp. Sau 1-2 năm theo dõi, tình trạng bệnh không hề xấu đi nên không cần phải điều trị thêm.

Gorham-Stout là căn bệnh khiến cho một bộ phận xương trong cơ thể bị tiêu biến.
Gorham-Stout là căn bệnh khiến cho một bộ phận xương trong cơ thể bị tiêu biến.

Căn bệnh Gorham-Stout thường ảnh hưởng nặng nề nhất tới xương sườn, xương sống, xương chậu, xương sọ, xương đòn và xương hàm. Một số người có thể bị đau và sưng bộ phận đó lên nhanh chóng trong khi những người khác chỉ đau nhức và nặng dần theo thời gian.

Phương pháp điều trị hữu hiệu nhất hiện nay là tập trung vào việc quản lý các triệu chứng của một cá nhân. Một số bệnh nhân có thể cần ghép xương để giúp cơ thể thêm hoàn thiện, Trong một vài trường hợp khác, vùng xương bị ảnh hưởng có thể được phẫu thuật cắt bỏ.