Có những người đang ngủ thì bị mộng du đi đi lại lại, hoặc nói mơ, và cũng có người đang ngủ bỗng chẳng may… nuốt phải một thứ gì đó (và đây là thứ mà rất nhiều người vẫn dùng trước khi đi ngủ).
Mới đây, anh Brad Gauthier ở Worcester (Massachusetts, Mỹ) khi tỉnh dậy buổi sáng thì bỗng thấy hơi khó thở. Anh lấy cốc nước uống thì lại cảm thấy như muốn nghẹn, đến mức phải nhổ nước ra thay vì nuốt vào. Brad lo rằng mình có thể đã nhiễm bệnh gì đó, như COVID-19 chẳng hạn. Tuy nhiên, do không có dấu hiệu gì khác nên Brad vẫn làm mọi việc bình thường.
Anh Brad Gauthier. Ảnh: Caters News Agency. Nhưng càng lúc, Brad càng thấy có cảm giác kỳ lạ ở ngực. Ngoài ra, anh đi tìm AirPods của mình để nghe nhạc nhưng chỉ tìm thấy mỗi một chiếc. Được biết, Gauthier có thói quen đeo tai nghe AirPods khi đi ngủ vì anh không muốn làm phiền đứa con 6 tháng tuổi của mình. Mọi người trong nhà đùa rằng có khi anh lại nuốt mất một chiếc rồi.
Brad kể lại: “Khi mọi người cười về việc đó, tôi cũng cười, nhưng tôi có cảm giác rất lạ lùng và sợ hãi. Tôi nghĩ ngợi khoảng 10 phút, rồi quyết định vào bệnh viện khám cho chắc”.
Ban đầu, các bác sĩ cho rằng anh Brad có thể khó chịu như vậy do tối hôm trước anh ăn nhiều món ở một bữa tiệc sinh nhật. Thế nhưng, phim chụp X-quang đã sớm cho thấy rằng bác sĩ nhận định sai và cảm giác của Brad mới đúng: Một chiếc AirPod đang mắc kẹt ở thực quản của anh.
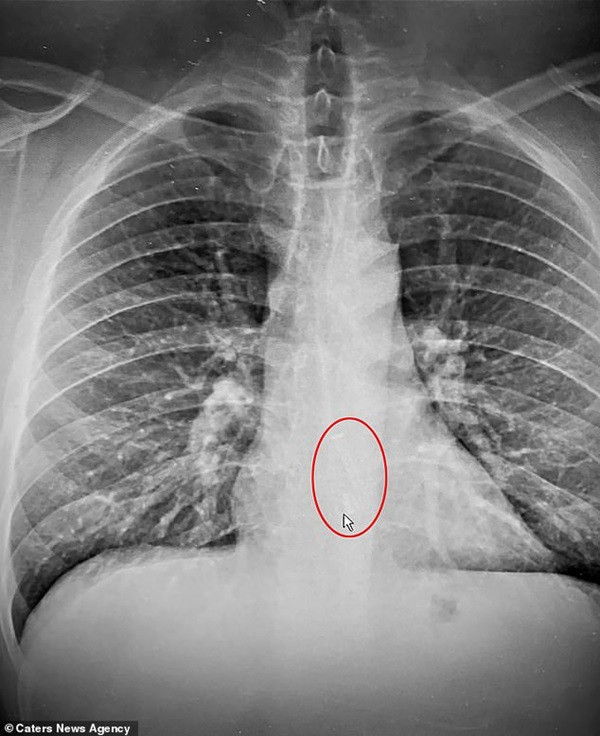
Vị trí chiếc AirPod mắc kẹt trong thực quản. Ảnh: Caters News Agency. Brad vẫn còn rất may mắn vì vị trí mà chiếc AirPod bị mắc đã khiến nó không gây thêm “thiệt hại” gì. Chứ nếu nó mắc vào đường thở thì vấn đề sẽ nghiêm trọng hơn nhiều.
Các bác sĩ quyết định dùng phương pháp nội soi để lấy chiếc AirPod ra, mặc dù họ cũng sợ rằng nó có thể… rơi sang chỗ khác.
May là cuối cùng, bác sĩ đã thành công và Brad đã có thể ăn uống, hít thở bình thường.
Không biết bằng cách nào mà anh Brad đã nuốt một chiếc AirPod trong khi ngủ. Ảnh: Ivan Shenets/ Shutterstock. Về “số phận” của chiếc AirPod, nó vẫn dùng để nghe được nhưng chức năng micro đã hỏng sau “cuộc phiêu lưu” bất ngờ đó.


