Bệnh nhân là nam, 42 tuổi, nhập viện trong tình trạng đau tức ngực, khó thở kéo dài – đặc biệt nặng khi nằm. Anh cho biết những triệu chứng này đã xuất hiện từ hai năm trước, khiến cơ thể luôn mệt mỏi, không thể lao động nặng. Tuy nhiên, do nghĩ là biểu hiện thông thường, anh không đi khám cho đến khi cảm giác ngột ngạt và tức ngực trở nên không chịu nổi.
Kết quả chụp cắt lớp vi tính cho thấy một khối u khổng lồ nằm lệch trong khoang màng phổi phải, gây xẹp gần như hoàn toàn phổi bên phải và đẩy lệch cơ hoành. Các bác sĩ xác định đây là u bao sợi thần kinh Schwannoma – một dạng u lành tính nhưng rất hiếm gặp và có kích thước “ngoại cỡ”.
Cuộc mổ “nghẹt thở” trong 2 giờ đồng hồ
Do khối u nằm sâu trong lồng ngực và kích thước quá lớn, ê-kíp phẫu thuật buộc phải cắt bỏ một đoạn xương sườn để mở rộng đường vào, tạo không gian thao tác. Trong quá trình mổ, khối u dính chặt vào các mạch máu lớn và tăng sinh mạch mạnh, khiến máu chảy ồ ạt. Rất may, nhờ sự chuẩn bị kỹ lưỡng từ trước, các bác sĩ đã kiểm soát tốt tình hình, truyền bổ sung 2 đơn vị máu cho bệnh nhân và khéo léo bóc tách khối u ra khỏi các cơ quan quan trọng như tim, phổi, mạch máu lớn.
![]() |
| Các bác sĩ phẫu thuật cho bệnh nhân |
Sau khoảng 2 giờ căng thẳng, khối u nặng 3,6kg đã được lấy ra trọn vẹn, phổi phải của bệnh nhân giãn nở trở lại, phục hồi hình thái và chức năng hô hấp.
Chỉ một ngày sau phẫu thuật, bệnh nhân đã có thể ngồi dậy và đi lại nhẹ nhàng. Anh được xuất viện sau 4 ngày trong tình trạng sức khỏe ổn định, tinh thần phấn chấn. “Tôi có cảm giác như mình được sinh ra một lần nữa. Cảm ơn các bác sĩ đã mang lại cho tôi cuộc sống mới,” anh xúc động chia sẻ.
Theo TS.Ngô Gia Khánh – Trưởng Khoa Phẫu thuật Lồng ngực và Mạch máu, ca mổ thành công không chỉ nhờ vào tay nghề vững vàng của đội ngũ phẫu thuật viên mà còn là kết quả của sự phối hợp ăn ý giữa các chuyên khoa, cùng sự chuẩn bị kỹ lưỡng của toàn bộ ê-kíp y tế.
Đừng chủ quan với dấu hiệu bất thường
Từ trường hợp này, các bác sĩ Bệnh viện Bạch Mai đưa ra lời khuyến cáo: người dân không nên chủ quan trước các biểu hiện như đau tức ngực, khó thở khi nằm, ho dai dẳng không rõ nguyên nhân… Đây có thể là dấu hiệu của các bệnh lý nguy hiểm, cần được kiểm tra và can thiệp kịp thời.
“U trung thất thường không có triệu chứng rõ ràng ở giai đoạn đầu, dễ bị bỏ qua. Việc khám sức khỏe định kỳ là cách hiệu quả nhất để phát hiện sớm và tăng cơ hội điều trị thành công”, TS. Khánh cho biết thêm.
Ca mổ khối u trung thất “khủng” không chỉ là một dấu mốc chuyên môn đáng tự hào của Bệnh viện Bạch Mai mà còn là lời nhắc nhở mạnh mẽ về tầm quan trọng của việc theo dõi sức khỏe, khám định kỳ và điều trị kịp thời.
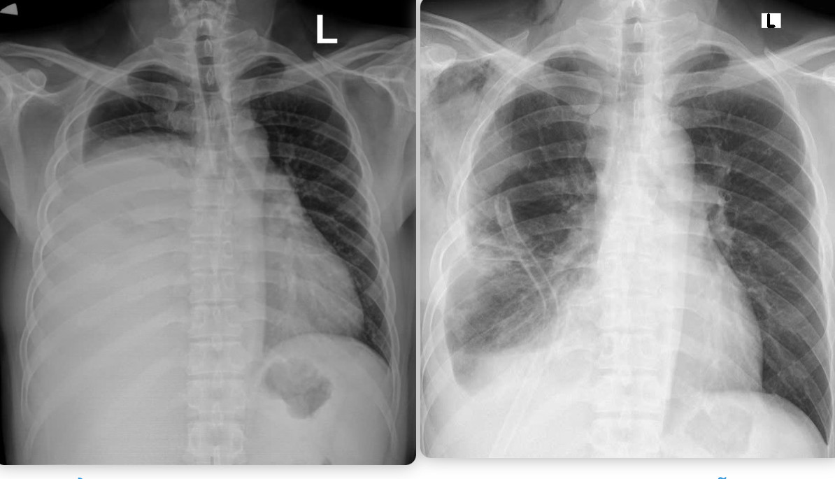
![]() |
| Hình ảnh phim chụp X.quang trước và sau khi phẫu thuật. Hình trước phẫu thuật (bên trái): Khối u xâm chiếm khoang ngực, gây xẹp gần như toàn bộ phổi phải. |
U trung thất có thể lành tính hoặc là khối u ác tính. Hiện nay chưa có biện pháp nào để phòng ngừa bệnh u trung thất. Tuy nhiên, bạn có thể cải thiện cơ hội điều trị bằng cách khám sức khỏe tổng quát định kỳ, phát hiện sớm khối u nếu có. Nếu bạn bị khó thở, ho hoặc các triệu chứng khác kéo dài hơn hai tuần, hãy đến gặp bác sĩ để được thăm khám và điều trị sớm, tránh nguy cơ tăng nặng của bệnh.
U trung thất rất hiếm, chỉ xảy ra ở dưới 1% dân số. Hầu hết hình thành ở phần trước (phía trước) của trung thất. Các loại phổ biến nhất là u tuyến ức, u nang trung thất lành tính và u lympho.
Do vị trí của chúng, u trung thất không được điều trị có thể gây ra các vấn đề nghiêm trọng, ngay cả khi chúng không phải là ung thư. Các vấn đề này bao gồm di căn đến tim, màng ngoài tim (lớp lót xung quanh tim) và các mạch máu lớn (động mạch chủ và tĩnh mạch chủ). Các khối u ở trung thất sau (phía sau) của bạn có thể gây áp lực lên tủy sống của bạn.
Chỉ có khoảng 25% khối u trung thất là ung thư. Tuy nhiên, khả năng hoá ác tính tăng lên nếu nó ở phần trước của trung thất. Khoảng 60% khối u trung thất trước là ung thư.

